溶脂去眼袋介绍
-
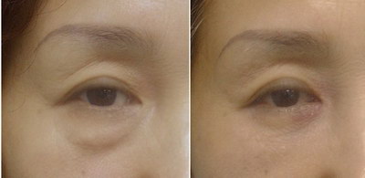
由于生活和工作的原因,导致人们眼袋形成较多。热效溶脂术去眼袋是利用高科技专利溶脂器,结合美韩最先进的创新科技,通过微分子模仿细胞运动规律改变运动速度,使眼袋内脂肪热效溶解,由静脉淋巴吸收,能迅速祛除掉眼袋内多余的脂肪,达到去除眼袋目的。
-
- 手术部位:眼部
- 手术时长:30-60分钟
- 手术费用:5000-16000
- 麻醉方式:无需麻醉
- 治疗次数:可能需要多次治疗
- 治疗时长:30-60分钟
- 拆线时间:无需拆线
- 术后休息:无需休息
- 康复时间:15天
- 效果维持:暂未得到临床验证
- 适宜人群:有眼袋但皮肤弹性相对较
- 缺点:1、溶脂针未通过我国食品药品监督管理部门批准应用,效果有待确认。2、存在未知隐患,可能会损害受术者的身体健康。
- 相关案例介绍
案例一
今天终于下定决心来把我的眼袋去掉了,为了术后效果更好一点我加了填充泪沟。眼袋有点明显,已经影响到我的颜值和自信心了。是在广州缔妍医美这边做的,因为之前补牙被坑过,把我一颗好牙弄成死牙,现在说起来感觉心里还是堵了一块石头。难受。所以这次选做不开刀去眼袋的医生和机构我是特别小心再小心。不能走那些老路,一定要找专业的医生。看了医生介绍感觉还不错,做了很多调查工作,原来那个医生的名气还挺大的。于海成。不开刀去眼袋是什么原理是什么了解的清清楚楚。去的前一天晚上紧张到睡不着。
而且效果我真的很满意,最重要的是手术时间真的是30分钟都不到。
但是也不能说过程一点都不疼,只能说是能接受的范围,刚开始是酸酸胀胀的疼,然后就没那么紧张也没有什么太难受的感觉。感觉这次自己选对医生和医院了。医院的服务态度什么的都挺好的。最重要的是没有什么副作用。
是不是期待很久了呢!关于我的不开刀去眼袋+填充泪沟术后更新来咯!告诉大家一个秘密。本来我是想着要是恢复不好,我是不会放过缔妍医美的,我也不知道这是一种什么样的想法,可能对这些医疗都比较不信任恐惧吧!但是现在术后恢复的非常好,没有之前那么恐惧了。而且缔妍医美的服务态度非常的好,恢复的这几天比较忐忑,内心很慌张,真的很害怕恢复不好,但是缔妍医美的医生每天都给我发微信,提醒我那些注意事项,特别是第二天起来还是淤青,心情很暴躁,但是医生都有安抚我的情绪。有眼袋的宝宝们要行动咯!
更新啦!更新啦!总算不用注意这些术后注意事项了,感觉轻松了很多,之前的时候。总感觉心里压了一块石头,因为怕处理不好,就怕心里的那块石头就压下来把我压死了,现在不用担心啦!现在有时间啦,现在就想出去嗨出去玩出去吃吃吃。但是不能这个放纵自己了。我已经不年轻了。是啊。我已经不年轻了。牙不好,还长了眼袋。虽然已经处理掉了,但是要更加小心的维护我拥有的。所以有时候看见别人大口吃肉大口喝酒随便熬夜,就觉得好羡慕啊。自律之旅开始了,加油吧!
最近好多人都夸我变年轻变漂亮了好多,虽然嘴上谦虚的很,但是心里听了还是高兴极了。哈哈哈,女人就是爱听这些话,不开刀去眼袋加填充泪沟效果真的挺好的。最近公司好多小姐姐小伙子都是一种很矛盾的心里,这种心里我以前也有过,想想大家都是第一次做人,做人何苦为难人。上学又不许谈恋爱,毕业又催着结婚找男女朋友,催生、工资啥的,为什么要弄得大家都这么尴尬呢是不是。
但是忙活一年到头又可以回吃吃家里的饭家里的味道多好。这样想想心里又平和很多了。最近要去买点东西回去过年了,开心。
你们发现我这次有什么新变化了没有,哈哈哈,我最近尝试了一下发色,谁还没有一个少女心呢,这次选择这样子的一个这样子的颜色已经不是第一次了,就是觉得自己看到这样的颜色心情会很好,所以多做点让自己开心的事咯。今年回家过年好舍不得上去啊,好像还没有玩够待够呢,就要上去了,要是春节假期可以再长一点就好了。可惜没有如果。
顺便表白一下我的不开刀去眼袋+填充泪沟。效果真的很满意。今年过年回家很多人都说我变年轻了,也发现了好多人有眼袋啊。现在眼袋好像已经不分年龄了。也有一些人问我怎么把眼袋去掉的,哈哈哈很开心能帮到你们。
我是亲身体验过了。你们可以放心去吧。下次再更新咯。
案例二
一不小心又翻到自己以前的照片,这眼袋大到真是没谁了,其实我是有卧蚕的,可是因为有眼袋的原因我一笑起来眼袋和卧蚕挤在一块去了,显得整个眼部就特别肿。特别是早上起床的时候,整个眼睛肿得真的是不堪入目。眼袋是我熬夜熬出来的,控制不住自己,现在想保养已经来不及了。为什么选择缔妍这家医院,因为这家医院去眼袋是不开刀的,而且有着许多的案例,恢复期段,不会影响我接下来的生活,而且有24年的品牌了,看见是老品牌我都比较放心。
刚做完眼袋手术的时候,眼袋就已经消失不见了,感觉有点胀胀的,但是一想到很快就会恢复好就很激动,接着就去冰敷,冰敷完以后会贴纱布进行加压,第二天早上取下来,冰敷后要尽量平视,动作幅度不可过大,要注意眼部的休息,避免过度用眼,不可提重物,不可以化眼妆,不可蒸桑拿,吃辛辣刺激类的食物,喝酒。只能说需要注意的还挺多,但不影响正常的生活,该吃吃该喝喝。
现在是七天了,眼袋是完全看不见了,也可以正常化妆,没有了眼袋无论走在哪里都觉得自己很自信,连头都抬得老高了。哈哈哈
今天是做完手术第十多天,我的眼袋恢复得差不多了,现在感觉眼睛比以前大了许多,也精神了许多。我是单眼皮,本来就有点呆滞的感觉,再加上眼袋,整个人就更没精气神了。其实我也不怎么熬夜,但是眼睛一直得不到休息,每天上班就是对着电脑,下班就是对这手机,可以说,除了睡觉,其余时间眼睛一直都是在工作状态,疲劳过度,再加上睡眠不好,就看起来气色更差了。现在没眼袋我感觉真的很舒服,也爱上自拍了,虽然还不大会,但慢慢在学习中。
手术做完已经20天了,时间过得好快啊!!自己已经习惯了没有眼袋和泪沟的自己,但我每天都还是会可以照照镜子看看自己,现在化妆也是容易了很多,不用使用遮瑕膏反反复复的使用感觉轻松了很多。就算不化妆,素颜也是精神了许多,没有像以前那样憔悴不堪,感觉自己年轻了好几岁。真的很感谢于海成院长,让我找回了以前的自己,现在比以前开朗了许多,做一个精致的猪猪女孩,对这个手术效果我是真的满意。就连黑眼圈问题也有所改善,眼部细纹也变少了许多。
哈哈哈,来爆照了哦,没有眼袋的感觉真是好好哟,以前不化妆真的是不敢出门,主要是眼袋本身就看起来没精神,在不化个淡妆,那更是雪上加霜,现在没有眼袋了整个人看起来精神面貌好了许多。去上班同事们都在问我眼袋是怎么没有的,也没看见我去做了什么,就突然发现我眼袋没有了,都说眼袋没了看起来年轻了很多,哈哈,开心开心!
来更新啦,很快两个月就过去了,不过现在照镜子内心还是非常愉悦的,修复的越来越好了呢,没有眼袋拍照的感觉,就是真的不用在拍照要把眼袋p掉,素颜也不会像以前那样没精神,而且现在基本只要晚上早点睡,第二天也不会有黑眼圈 ,嘻嘻嘻,感谢院长让我美美哒!
案例三
哈喽各位宝宝,关注这个平台好久了,我之前的双眼皮有些凹陷,可能是熬夜太多了吧,感觉眼睛很显老的内双,这次下了决心来美莱做了一下眼睛,整体提升一下自己的形象,在工作岗位上确实很重要。我去做了很多眼部项目:切开重睑+上睑下垂矫正术+内眦赘皮矫正术+脂肪排列,第一天眼睛好红肿,不过形状我还蛮喜欢的,期待消肿。
第三天已经好了很多了,眼睛已经不那么肿了,但是还是很红,幸好最近在家不需要外出,不然我这么在意自己形象的人出门真的好痛苦,现在饮食也很注意,少油烟勿辛辣,洗澡要注意不要洗眼睛
一周了,感觉自己的的眼睛明显没那么红肿了,帅帅的样子已经出来了哈哈哈,最近出门都是戴口罩墨镜,去机场别人还以为我是哪个明星,追着我跑了半天,我摘了眼睛才认出我不是明星哈哈,哪个小姑娘还说我像张凯哈哈哈,我可比他年轻多了

十天了,这两天恢复的很好了,但是我今早上洗脸不小心用力过度搞得有点肿了,还特特地问了一下客服小姐姐,说是没关系,过两天就消了,现在的样子真的很满意,比之前精神多了,感觉自己年轻了好几岁。
已经第十五天了,我的眼睛医生也说恢复的出奇的快,可能因为我的名字带奇,所以不一般,哈哈哈哈。我的几个好朋友都这开玩笑,哥们几个出去玩,感觉自己就像男团队长一样,带着我那一群颜值高的兄弟,去哪玩都是焦点,真喜欢这种感觉,有机会去参加一下选秀节目,或许就出道了呢,哈哈
很多宝宝都觉得我恢复的快,医生也说男孩子恢复力比较强,可能也是因为年轻吧,所以劝各位宝宝,以后要是想做整形手术一定要趁年轻,不要等到代谢能力衰退了才来做手术,回恢复慢还容易留下疤痕。还有就是鼓励宝宝们为美丽而活,你用那么贵的护肤品和那么多面膜不一定管用,但是医美手术能立竿见影。

真的太不容易了,终于熬过了这一个月,现在不仔细看看不出什么痕迹了,不过这一个月我很少化妆洗脸,怕影响伤口的复原,出门带着墨镜,怕别人看出来,虽然周边的朋友还是会好奇的问我,但是我也懒得说,爱美也是男人的权利呀,别管别人怎么议论,不是有句话说吗,议论你的人都是嫉妒你的人,比你优秀的人才没时间去管你的好坏呢!粉丝们给我勇气,我也要给大家底气。

最近看李佳琦直播着真的太烧钱了,每次都要抢东西都要花不少钱,尤其是做了眼睛后,觉得自己太帅了哈哈,感觉不买点东西对不起自己日益变帅额眼睛,男孩子为什么不能化妆了,谁说化妆是女孩子的专属了,不要骂我是杠精,跟着佳琪哥哥变好看。
今天这个妆有些浓了,粉底好明显呀,果真不是个精致的男孩子,所以要学习化妆了,现在的女孩子出去都是面容精致,和我的女性朋友出去玩,她们讨论各种护肤品我就在边上很尴尬,后来爱上了佳琪的直播间,这色号给我整懵了,拿出了自己的工资也拍下了热门色号和粉底,我的朋友正在教我化妆,今天的手法有些浮夸了,大家看一下两个月的眼睛吧,恢复的像妈生的了
案例四
之前没怎么接触过整形,平常也只是偶尔做做小气泡和水光针。但是眼袋还真不是护肤就能解决的,一旦形成了,就只会越来越严重,不会自动好。女人啊,到了一定的年龄就要主动保养了。以前熬夜通宵,隔天还是精神抖擞,顶多有黑眼圈,没有眼袋,现在一熬夜通宵,隔天就头晕,眼睛就肿,眼袋就出来了。
听朋友介绍的医院和医生,自己也在平台上看见缔妍的黄医生人气还挺高,特别是眼袋的技术特别高超,便下定决心来消灭这眼袋。
面诊的时候和聊天感觉还好,但是到了抽血我就开始紧张了。医院刚好在播我的歌“晴天”,瞬间舒心了很多。随后,黄医生在我脸上画出了眼袋的位置,然后就开始手术。时间过得很快,我感觉我快睡着的时候被黄医生告知手术已经做完了,一脸懵逼,居然这么快就做完了。我拿了镜子照了照,真的是没了,好神奇。就是感觉有点胀胀的,中途闻得到一股烧焦的味道,不知道是不是烧脂肪的味道。反正眼袋是真的没了,开心。冰敷了10几分钟后就可以走了,医院很人性化,还给了我一个墨镜带走。期待明天的效果~
眼袋是真的没了!朋友都突然喜欢我了,说我变得不一样了,虽然还是一样的土逼着装,但感觉就是变好看了。我就不计较他们说我土了,但......变好看这字眼我可以开心很多天。哈哈哈~真的很感谢缔妍国际医疗美容让我有了不一样的蜕变,感谢技术高超的于海成院长。今天回医院复查,特别开心,就直接在院内拍了几张照片。想和大家一起分享我的变化,话不多说,直接上照~
时隔几日,各位宝宝有没有想我,现在眼袋状态恢复的很稳定,超级超级大的眼袋不见!!感觉自己年轻了不止十岁,以前大眼袋的样子真的是不堪入目。这段时间,眼睛没有出现过什么不适感,也没有留下疤痕,恢复得也特别快。闺蜜都说我变了好多,用她那小骚手勾着我的下巴:说,你是不是背着我偷偷跑去整容了。我实在是笑喷了,单单只是做眼袋对整个人的面部是很明显的,效果直接让自己逆龄了十岁。到目前为止我是超满意的,医生技术不错的,超级推荐!
- 上一篇:半永久眼线价格表,一般多少钱?
- 下一篇:眼睑内外翻矫正整形价格【怎样计算费用】











