我磨牙断了一半,感觉难受

前几天我不小心磨牙,结果磨到了一半,感觉非常难受。这让我一度感到惶恐和无助。
一开始,我没想到这件事会有这么大的影响。可当磨牙断了一半之后,我感觉整个嘴巴都不对劲了。咀嚼食物的时候,磨牙处总是有些疼痛,而且不能像以前那样吃东西,只能小口小口地慢慢嚼。
更重要的是,我的心情变得沉重了许多。一直以来我都以拥有一口整齐的牙齿为荣,不管是笑容还是说话都十分自信。而如今,我却常常深感自卑和尴尬。出门见人的时候总是不敢打开嘴巴,生怕被人看到我的缺牙。
为了解决这个问题,我去了一家口腔诊所咨询,医生告诉我我的情况需要进行磨牙修复,否则很可能会导致更多的牙齿问题。听到这个消息,我感觉心里的一块石头终于落了下来,因为我知道自己终于有了解决问题的方法。
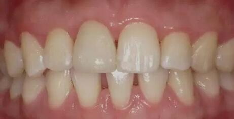
在医生的帮助下,我进行了一次非常成功的磨牙修复手术。手术中虽然有一些麻烦和困难,但是最终医生还是将我的牙齿修复得非常漂亮,甚至比以前还要好看。这让我感到非常开心和满意。
现在,我的牙齿已经恢复了健康、整洁、光亮的状态,而我也重新恢复了自信和自尊心。我再次发现,健康的牙齿是多么重要,它决定着我们的咀嚼和言语能力,更影响我们的情绪和自信心。所以,我们需要时刻保持牙齿健康,让它们持久地为我们服务。
- 上一篇:假体隆胸不对称的后果
- 下一篇:烤瓷牙和陶瓷牙图片











